〒113-0001 東京都文京区白山1-33-27 HDCビル1F
都営三田線「白山駅」A2出口より徒歩1分、東京メトロ南北線「本駒込駅」より徒歩4分

電話でのお問合せ・入れ歯相談予約

0120-835-327

ドイツ式入れ歯の症例(3)
レジリエンツ・テレスコープ

case3

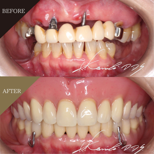
上のブリッジが取れそうで
食事ができない

50代女性

上のブリッジがダメになって、食事がとれないのできちんと治したい。

上の前歯が重度の歯周病のためにグラグラになり、ブリッジが今にも取れそうで、食事がとれなくなっていました

上の奥歯を4本残せたので、この4本を守りながら噛めるようにするレジリエンツテレスコープで治療しました。上の歯が見違えるようにキレイになり、食事の不自由もなくなりました

主訴

上のブリッジがダメになって、食事がとれないのできちんと治したい。
治療内容
上あごをレジリエンツテレスコープ、下あごはセラミッククラウンとキャストパーシャルデンチャーにて治療。同時に歯周病治療、根管治療、虫歯治療、噛み合わせ治療を実施。
治療費

上あご:4本の歯を利用したレジリエンツテレスコープ 231万円(税込)。
下あご:セラミッククラウン15万4千円(税込)×8本+キャストパーシャルデンチャー52万8千円(税込)。

リスク・副作用

土台となるご自身の歯を削る必要があります(削る量は個人差があります)。
治療時に出血を伴う可能性があります。

当院で施術した、ドイツ式入れ歯・テレスコープ義歯の症例を画像でご紹介します。

ブリッジが取れそう

噛めない

どうぞお気軽に
ご相談ください

  • 前歯のブリッジが取れそう
  • お口の中がボロボロ…
  • 歯を気にせず食事をしたい

初診でお口の中を診せていただきます。診察時間は約60分、初診料は5,500円です。

ご興味ある方は以下のページをご覧ください

このは歯科クリニック

東京都文京区白山1-33-27 HDCビル1F

  • 都営三田線 白山駅 A2出口より徒歩1分
  • 東京メトロ南北線 本駒込駅 より徒歩4分
  • 東京駅からタクシーで20分ほど
 

2012年 東京歯科大学 卒業
2013年 阪口歯科 勤務(三重県)
2015年 稲葉歯科医院 勤務(東京都)
 以降、毎年日本顎咬合学会にて症例発表
2019年 ドイツ ハイデルベルク大学
 単身ドイツにわたり本場のドイツ式入れ歯をはじめインプラント分野の研修を修了
2021年 このは歯科クリニック 開院

入れ歯治療をご検討中の方へ

治療費の分割方法についてはこちら

当院の義歯治療の種類と料金

入れ歯治療の流れを説明します

院内の模様をご紹介します

院長の人となりをお伝えします

当院へのアクセス方法と診療時間

保険と自費の違いを徹底解説しています

当院でのドイツ式入れ歯の症例紹介